Understanding PT4B Breast Cancer

E.Ittepic 95 views
Understanding PT4B Breast Cancer

Understanding PT4B Breast Cancer

Hey everyone! Today, we’re diving deep into a topic that might sound a bit scary at first, but understanding it is super important: PT4B breast cancer . Now, you might be wondering, “What exactly is PT4B breast cancer?” Well, guys, this classification is part of the TNM staging system, which doctors use to describe the extent of breast cancer. TNM stands for Tumor, Node, and Metastasis, and it’s the gold standard for figuring out how advanced a cancer is. The ’T’ in TNM refers to the primary tumor itself – its size and whether it has spread to nearby tissues. The ‘P’ in PT4B is a bit of a tricky one because it’s not a standard part of the TNM system for breast cancer. Usually, you’ll see T1, T2, T3, or T4, each with subcategories like T4a, T4b, T4c, and T4d. The ‘P’ might be a typo or refer to a specific pathology report finding. For the sake of clarity and focusing on what’s generally understood in breast cancer staging, let’s focus on the ‘T4b’ aspect, which is the crucial part here. T4b breast cancer signifies a tumor that has spread to the chest wall and/or the skin of the breast, causing swelling or skin ulcers. This is considered locally advanced breast cancer, meaning it hasn’t spread to distant parts of the body (that would be metastasis, or ’M’), but it has grown significantly in its immediate surroundings. It’s a more complex diagnosis than, say, a small T1 tumor that hasn’t invaded surrounding tissues. But don’t let the term “advanced” get you down! Medical science has made incredible strides, and there are many effective treatment options available today. Understanding your specific diagnosis, including the TNM staging, is the first step towards getting the best possible care. We’ll break down what T4b means in more detail, discuss the implications, and explore the treatment landscape. So, stick around, and let’s get informed together!

What Does T4b Breast Cancer Really Mean?

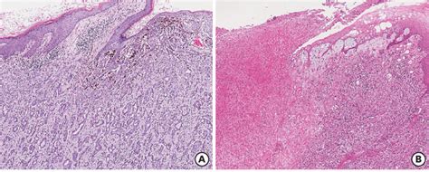
Alright, guys, let’s get down to the nitty-gritty of what T4b breast cancer actually signifies. As I mentioned, this falls under the ’T’ category of the TNM staging system, which focuses on the primary tumor. The ‘T4’ classification itself means the tumor is larger and has grown more extensively into surrounding breast tissues. Specifically, T4b breast cancer indicates that the tumor has invaded both the chest wall and the skin of the breast. This invasion can manifest in a few ways. For the chest wall, it means the cancer cells have spread beyond the initial breast tissue into the muscles or ribs underneath. This is a significant step in local progression. For the skin, the invasion can cause symptoms like breast swelling (edema) , where the breast becomes enlarged and feels heavy, or the development of skin ulcers , which are open sores on the skin surface. Sometimes, the skin changes can give the appearance of an orange peel, a condition known as peau d’orange . This is due to the cancer blocking the lymphatic vessels in the skin. It’s important to understand that T4b is not about the size of the tumor alone, although tumors classified as T4 are generally quite large. It’s more about the extent of local invasion . Even if the primary tumor itself isn’t massive, if it has invaded the chest wall and skin, it earns the T4b classification. This type of local advancement means the cancer is more deeply rooted in the breast area. It’s crucial to differentiate this from other T4 subcategories. For instance, T4a involves invasion of the chest wall only, while T4c means both chest wall and skin involvement (which can include edema or ulceration, overlapping with T4b but encompassing a broader definition). T4d refers to inflammatory breast cancer, a rare but aggressive form characterized by widespread redness and swelling of the entire breast, often without a distinct lump. So, when we talk about T4b breast cancer , we’re specifically discussing a scenario where the tumor has breached the boundaries of the original breast tissue to affect both the underlying chest wall and the overlying skin. This has significant implications for treatment planning, as it suggests a more aggressive local disease.

The Implications of a T4b Diagnosis

So, you’ve received a diagnosis of T4b breast cancer . What does this actually mean for you or your loved one? It’s totally natural to feel a mix of emotions – perhaps fear, confusion, or even a sense of urgency. Let’s break down the implications in a straightforward way. Primarily, a T4b diagnosis means the breast cancer is considered locally advanced . This is a key distinction. It signifies that the cancer has grown significantly within the breast and has spread to nearby structures – the chest wall and the skin. However, and this is a crucial point, it does not mean the cancer has spread to distant organs like the lungs, liver, or bones. That latter stage is called metastatic breast cancer, and it’s staged differently. So, while locally advanced sounds serious, it’s important to remember it’s still potentially treatable and manageable. The fact that the cancer has involved the chest wall and skin often means that surgery, in its traditional sense of simply removing the breast lump, might be more complex or might not be the first line of treatment. The involvement of these structures might necessitate a more extensive surgical procedure, such as a mastectomy (surgical removal of the entire breast) and potentially even removal of part of the chest wall if the invasion is deep. Furthermore, the skin involvement, like swelling or ulceration, can impact the quality of life, causing discomfort, pain, and potential infection risks. This usually means that neoadjuvant therapy becomes a very important part of the treatment plan. Neoadjuvant therapy is treatment given before surgery. The goal is often to shrink the tumor down as much as possible, making it easier to remove surgically, or sometimes even making surgery unnecessary or less extensive. This can include chemotherapy, hormone therapy, or targeted therapy, depending on the specific type of breast cancer. Another implication is related to the prognosis . Generally speaking, locally advanced breast cancers like T4b have a higher risk of recurrence (coming back) compared to earlier stage cancers. However, and I can’t stress this enough, prognosis is highly individualized . It depends on many factors beyond just the T4b classification. These include the specific subtype of breast cancer (e.g., hormone receptor status like ER/PR positive or negative, HER2 status), the grade of the tumor (how abnormal the cells look), whether lymph nodes are involved (the ‘N’ in TNM), your overall health, and how well you respond to treatment. Modern medicine offers a wide array of treatment options, and many patients with T4b breast cancer achieve excellent outcomes and long-term survival. So, while the implications are serious and require a comprehensive treatment approach, a T4b diagnosis is not a hopeless one. It signals the need for a multi-faceted strategy involving medical oncologists, surgeons, radiation oncologists, and a strong support system.

Treatment Strategies for T4b Breast Cancer

Now that we’ve talked about what T4b breast cancer means and its implications, let’s shift gears and discuss the exciting part: the treatment strategies . Medical science has advanced tremendously, and there are numerous effective ways to tackle this form of locally advanced breast cancer. The key takeaway here is that treatment is almost always multimodal , meaning it involves a combination of different therapies. The specific plan is tailored to the individual, considering the cancer’s biology, your overall health, and your personal preferences. One of the cornerstone treatments for T4b breast cancer is neoadjuvant therapy . As we touched upon, this is treatment given before surgery. Why is this so important for T4b? Because the tumor has grown into the chest wall and skin, it’s often too extensive to be removed cleanly in one go. Neoadjuvant chemotherapy, hormone therapy, or targeted therapy aims to shrink the tumor significantly. This can make a subsequent surgery less radical, potentially preserving more of the breast tissue or making a mastectomy more manageable. It also allows doctors to see how the cancer responds to treatment early on, which can inform further therapeutic decisions. Chemotherapy uses drugs to kill cancer cells throughout the body. Hormone therapy is used for hormone-receptor-positive breast cancers (ER-positive or PR-positive) to block or lower the amount of hormones that fuel cancer growth. Targeted therapy drugs attack specific molecules on cancer cells, like HER2-positive breast cancers, which often require treatments like Herceptin (trastuzumab). After neoadjuvant therapy, surgery is typically the next step. For T4b breast cancer, this often involves a mastectomy , which is the surgical removal of the entire breast. Depending on the extent of chest wall invasion, a radical mastectomy or even partial removal of chest wall muscles might be necessary. The surgeon will also assess and likely remove nearby lymph nodes (a procedure called lymph node dissection or sentinel lymph node biopsy) to check if the cancer has spread there. Reconstruction of the breast can often be performed at the time of surgery or later, offering options for restoring appearance. Radiation therapy is another critical component, especially for locally advanced cancers. It uses high-energy rays to kill any remaining cancer cells in the breast area, chest wall, and lymph nodes after surgery. This helps reduce the risk of the cancer recurring locally. Finally, adjuvant therapy might be recommended after surgery and radiation. This is additional treatment to further reduce the risk of recurrence. It could include more chemotherapy, hormone therapy, or targeted therapy, depending on the characteristics of the tumor and how it responded to neoadjuvant treatment. The goal of adjuvant therapy is to eliminate any microscopic cancer cells that may have spread beyond the initial tumor site but are undetectable by imaging. It’s a comprehensive approach designed to attack the cancer from multiple angles. Remember, guys, staying informed and actively participating in your treatment decisions is empowering. Don’t hesitate to ask your healthcare team questions about every step of the process. Your journey is unique, and the medical team is there to support you with the best available strategies.

Living With and Beyond T4b Breast Cancer

Receiving a diagnosis of T4b breast cancer is undoubtedly a life-changing event, but it’s crucial to focus on living with and beyond it. This means embracing a proactive approach to your health, both during and after treatment. Firstly, maintaining a positive mindset is incredibly powerful. While it’s okay to have tough days, focusing on what you can control – your attitude, your lifestyle choices, and your engagement with your medical team – can make a significant difference. Mental and emotional well-being are just as important as physical health. Connecting with support groups, whether online or in-person, can provide invaluable comfort and shared experiences. Talking to therapists or counselors specializing in cancer care can also offer coping strategies. Remember, you are not alone in this journey. Nutrition and exercise play a vital role in recovery and long-term health. Post-treatment, focus on a balanced diet rich in fruits, vegetables, and whole grains. Staying hydrated is also key. Gentle exercise, as recommended by your doctor, can help rebuild strength, improve energy levels, and reduce the risk of side effects like lymphedema. Listen to your body and gradually increase your activity levels. Regular follow-up appointments are non-negotiable. Your oncologist will schedule regular check-ups, often including physical exams, blood tests, and imaging scans (like mammograms or MRIs), to monitor for any signs of recurrence or new health issues. Adhering to this schedule is essential for early detection if any problems arise. Managing long-term side effects is also part of living beyond T4b breast cancer. Treatments like chemotherapy, radiation, and surgery can have lingering effects, such as fatigue, lymphedema (swelling in the arm due to lymph node removal), menopausal symptoms, or changes in sensation. Working closely with your healthcare team, including physical therapists and lymphedema specialists, can help manage these issues effectively. Don’t hesitate to report any new or persistent symptoms. Furthermore, consider genetic counseling and testing , especially if there’s a family history of breast or ovarian cancer. Understanding your genetic predispositions can inform future health decisions for you and your family members. Lastly, advocacy plays a role. Educate yourself, share your experiences if you feel comfortable, and support research initiatives. By actively participating in your care and focusing on a holistic approach to well-being, you can navigate the challenges of T4b breast cancer and embrace a fulfilling life beyond diagnosis and treatment. It’s about resilience, hope, and a commitment to living well.