Understanding Cavum Septum Pellucidum

E.Ittepic 39 views
Understanding Cavum Septum Pellucidum

Understanding the Cavum Septum Pellucidum

Hey guys! Today, we’re diving deep into something you might hear about in medical contexts, especially relating to brain development: the cavum septum pellucidum , often abbreviated as CSP. You might have stumbled upon this term if you or someone you know has had an MRI or other brain imaging. Let’s break down what exactly the cavum septum pellucidum is, where it’s observed, and why it matters, all in a way that’s easy to digest. We’ll explore its typical appearance, what it signifies during development, and when it might be a cause for concern. So, buckle up as we unravel the mystery behind this fascinating part of the brain.

What is the Cavum Septum Pellucidum?

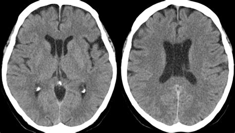
The cavum septum pellucidum is a small, fluid-filled space that’s located within the septum pellucidum, which is a thin, vertical membrane that separates the two frontal lobes of the brain. Think of the septum pellucidum as a delicate divider right in the middle of your brain. The ‘cavum’ part simply means a cavity or a space within this divider. In most cases, this space is quite small and may not even be noticeable. However, it’s a structure that’s particularly interesting to medical professionals, especially during fetal development and in newborns, because its presence and size can sometimes offer clues about brain development. It’s important to note that a CSP is not a tumor or a disease itself; it’s a structural variation that exists in some individuals. The septum pellucidum itself is a remnant of fetal brain development, and the cavum within it is essentially a space where two layers of the septum didn’t fully fuse. This fusion usually happens around the sixth month of gestation. If these layers remain separated, a CSP is formed. So, when we talk about the CSP being ‘observed anterior to the…’, it’s referring to its anatomical location relative to other brain structures. Specifically, it’s found in the anterior (front) part of the brain, within the midline structures. This anatomical position is key to understanding its significance. It sits just behind the genu of the corpus callosum, which is the C-shaped bundle of nerve fibers that connects the left and right cerebral hemispheres. The CSP is a midline structure, meaning it lies directly in the center of the brain. Its presence is quite common, with estimates suggesting it can be found in anywhere from 1% to as high as 15% of the general population, although the exact figures can vary depending on the study and the imaging techniques used. For many people who have a CSP, it’s an incidental finding and has no impact on their health or cognitive function whatsoever. It’s simply a variation of normal anatomy. However, in certain situations, the presence of a CSP, particularly if it’s larger than usual, can be associated with other developmental conditions. This is why it’s closely monitored in specific clinical scenarios. We’ll delve more into these associations and what they might mean as we go on.

Where is the Cavum Septum Pellucidum Observed?

Now, let’s get more specific about the location of the cavum septum pellucidum . As mentioned, it’s found in the anterior (front) part of the brain. To be even more precise, it’s situated within the septum pellucidum, which is a thin sheet of gray matter that divides the two cerebral hemispheres. Imagine looking at a brain from the side, right in the middle. The CSP lies just behind the genu (the front bend) of the corpus callosum and in front of the fornix, another important brain structure. It’s essentially sandwiched between these two major white matter tracts. The observation of the CSP is typically made during neuroimaging studies, such as Magnetic Resonance Imaging (MRI) or Computed Tomography (CT) scans, and sometimes even during ultrasound examinations, especially in fetuses. When a radiologist or neurologist looks at these scans, they are examining slices of the brain. The CSP will appear as a distinct, often cerebrospinal fluid (CSF)-filled space within the midline structures. The anterior position is significant because it’s in a region of the brain that plays a crucial role in higher cognitive functions, emotions, and decision-making. While the CSP itself doesn’t directly perform these functions, its presence in this critical area has led to investigations into potential associations. It’s important to reiterate that the cavum septum pellucidum is observed anterior to many key structures involved in communication between brain hemispheres and in relaying sensory information. For example, it lies anterior to the columns of the fornix and posterior to the anterior commissure. Its location is consistently midline, making it a landmark for surgeons and radiologists when assessing brain anatomy. The size and shape of the CSP can vary considerably. Some are tiny slits, barely detectable, while others can be more pronounced. The measurement of the CSP is often done in millimeters. A CSP is generally considered to be of significant size if it measures more than 5 mm in width or if it extends posteriorly beyond the anterior margin of the fornix. This is where clinical correlation becomes important. While a small CSP is usually benign, a larger or more extensively developed CSP might be associated with certain neurodevelopmental disorders. For instance, it has been observed more frequently in individuals with conditions like schizophrenia, bipolar disorder, attention-deficit/hyperactivity disorder (ADHD), and certain congenital malformations. However, it’s crucial to understand that association does not equal causation . Many people with a significant CSP do not have any of these conditions, and many people with these conditions do not have a CSP. The observation of a CSP is just one piece of a much larger puzzle in understanding brain development and function. It’s a visual marker that prompts further consideration and investigation in specific clinical contexts. So, when you hear that the CSP is observed anterior to certain structures, it’s essentially pinpointing its precise anatomical address within the intricate map of the human brain.

CSP During Fetal Development

During fetal development, the CSP plays a role in understanding the overall health and trajectory of brain growth. Its appearance and persistence can be monitored via prenatal ultrasounds. Initially, the septum pellucidum begins to form as two layers. The space between these layers, the cavum, is a normal finding in the early stages of fetal brain development. It typically starts to close or significantly reduce in size between the 30th and 37th week of gestation. However, in some fetuses, this closure may not occur completely, leading to a persistent CSP at birth. The observation of a CSP anterior to other developing structures during fetal ultrasounds is a key indicator for obstetricians and pediatric neurologists. If a CSP is detected early in pregnancy, it doesn’t necessarily mean there’s a problem. Often, it resolves on its own before birth. However, if it persists into the later stages of pregnancy or is noted to be particularly large, it might prompt closer monitoring. Doctors may recommend follow-up ultrasounds or even fetal MRIs to get a clearer picture of the fetal brain structures. The presence of a significant CSP in utero can sometimes be associated with other brain anomalies or genetic syndromes. For example, it has been noted in cases of agenesis of the corpus callosum (where the corpus callosum doesn’t form properly), holoprosencephaly (a condition where the brain doesn’t divide into two hemispheres correctly), and other congenital brain malformations. It’s also been observed more frequently in fetuses exposed to certain infections or with specific chromosomal abnormalities. The significance of observing a CSP during fetal development lies in its potential as a marker. It’s not a definitive diagnosis of a disorder, but rather a flag that suggests a closer look might be needed. Doctors will assess the CSP in conjunction with all other observed fetal anatomy and developmental milestones. If other anomalies are present, the finding of a CSP can increase the concern for a more complex underlying condition. Conversely, if the CSP is an isolated finding and all other fetal development appears normal, the likelihood of it being a significant issue is much lower. The key takeaway here is that while the CSP is a developmental variation, its observation anterior to other structures during prenatal scans is a critical piece of information for assessing fetal brain health and guiding subsequent care. It underscores the importance of detailed prenatal imaging and expert interpretation in ensuring the best possible outcomes for mother and baby.

Significance and Associations

The significance of the cavum septum pellucidum is primarily related to its potential association with certain neurological and psychiatric conditions, though it’s crucial to emphasize that having a CSP does not automatically mean someone has or will develop these conditions. Think of it as a potential clue, not a definitive answer. As we’ve touched upon, the CSP is observed anterior to many important brain structures, and its presence, particularly when it’s larger than average, has been statistically linked to an increased occurrence of various neurodevelopmental and psychiatric disorders. One of the most frequently discussed associations is with schizophrenia. Studies have shown that individuals diagnosed with schizophrenia are more likely to have a CSP compared to the general population. Similarly, it has been observed more often in individuals with bipolar disorder. This has led researchers to explore whether CSPs are related to subtle differences in brain development that might predispose individuals to these conditions. Another area of interest is attention-deficit/hyperactivity disorder (ADHD). Some research suggests a higher prevalence of CSPs in children and adults with ADHD, possibly relating to differences in brain connectivity or development in the frontal lobes, areas influenced by structures anterior to the CSP. Beyond psychiatric disorders, CSPs have also been linked to certain congenital anomalies. As mentioned earlier, they can be found in conjunction with other brain malformations like agenesis of the corpus callosum or holoprosencephaly. This is often because these more severe conditions involve widespread disruptions in early brain development, and the formation of the septum pellucidum might be affected as part of this broader process. However, it’s essential to maintain perspective. The vast majority of people with a CSP have no discernible health problems. Many individuals live their entire lives unaware they have one, and it has absolutely no bearing on their cognitive abilities, personality, or mental health. The association is statistical, meaning there’s a higher chance, not a certainty. For instance, while a significant percentage of people with schizophrenia might have a CSP, only a small fraction of people with a CSP will ever develop schizophrenia. Conversely, many individuals with CSPs are perfectly healthy and well-adjusted. The interpretation of a CSP finding, especially when observed anterior to specific landmarks during an MRI, requires careful clinical context. A radiologist or neurologist will consider the size and characteristics of the CSP alongside the patient’s age, symptoms, family history, and other imaging findings. It’s part of a comprehensive assessment. Sometimes, a CSP might be associated with other less common conditions, such as Chiari malformations or certain types of epilepsy. However, these associations are less consistent and require much more research. The key takeaway regarding the significance of the CSP is that while it can be an indicator that prompts further investigation in specific clinical scenarios, it is by no means a standalone diagnostic criterion for any condition. Its presence is a testament to the incredible complexity and variability of human brain development. Understanding its location, anterior to other midline structures, helps us appreciate its anatomical context, and recognizing its potential associations allows healthcare professionals to approach patient care with a more informed perspective, always remembering that individual outcomes vary widely.

When is a CSP a Concern?

So, guys, when does a cavum septum pellucidum (CSP) actually become a cause for concern? It’s not just about its presence, but rather its characteristics and the overall clinical picture. Generally, a small CSP, especially one that is only identified incidentally on an MRI for an unrelated reason, is not a cause for worry. Many people have small CSPs and lead perfectly healthy lives without any neurological or psychiatric issues. The concern typically arises when the CSP is significantly large , or when it is found in conjunction with other abnormalities in the brain or associated with specific symptoms or developmental delays . If a CSP is observed anterior to the fornix and measures more than, say, 5 to 10 millimeters in width, or if it appears unusually shaped or extends significantly, it might prompt a more detailed evaluation. This is because larger CSPs have a statistically higher association with certain neurodevelopmental and psychiatric conditions, as we’ve discussed. For example, in infants and children, if a CSP is found along with signs of developmental delay, motor skill deficits, or cognitive impairments, it adds another layer to the diagnostic process. Doctors will then look for other potential brain anomalies that might be contributing to these symptoms. This could include looking at the development of the corpus callosum, the shape of the ventricles, and the overall structure of the brain. Similarly, in adults, if a CSP is discovered in someone presenting with symptoms suggestive of schizophrenia, bipolar disorder, or even certain types of epilepsy, it might be considered as a potential contributing factor, alongside genetic predispositions and environmental influences. However, it’s crucial to stress that a CSP is rarely, if ever, the sole reason for diagnosing a complex psychiatric disorder. It’s always considered as part of a broader picture. Another situation where a CSP might raise concerns is if it’s detected during prenatal screening and persists into later stages of pregnancy, especially if other fetal anomalies are also noted. As mentioned before, prenatal detection of a CSP can sometimes be an indicator of underlying genetic syndromes or more significant brain malformations. In such cases, further genetic testing and more detailed fetal imaging might be recommended. The key here is context . An isolated, small CSP found in an asymptomatic adult is unlikely to be a concern. However, a large CSP detected in a child with developmental delays, or a CSP noted alongside other brain malformations in prenatal imaging, warrants closer attention and further investigation by medical professionals. It’s the combination of findings that elevates the importance of the CSP from an anatomical variation to a potential clinical marker. So, while the CSP itself isn’t inherently bad, its size, appearance, and the presence of associated symptoms or other anomalies are what determine whether it might be a clue to a more significant underlying issue. Always discuss any findings with your doctor; they are the best source for personalized medical advice.

Conclusion

To wrap things up, the cavum septum pellucidum (CSP) is a fascinating anatomical variation that we’ve explored today. We’ve learned that it’s a fluid-filled space within the septum pellucidum, located in the anterior part of the brain, just behind the corpus callosum. For many people, the CSP is an incidental finding with no impact on their health or well-being. It’s a common occurrence, and its presence is often just a variation of normal development. However, its significance lies in potential associations, particularly when it is larger than average or found alongside other anomalies. We’ve discussed how its observation anterior to key brain structures makes it an important landmark for neuroimaging. While it has been statistically linked to conditions like schizophrenia, bipolar disorder, and ADHD, it is not a cause or a definitive marker for these disorders. The presence of a CSP should always be interpreted within the broader clinical context, considering the individual’s symptoms, medical history, and other imaging findings. Prenatal detection of a CSP also warrants attention, especially if other abnormalities are present, but it often resolves or is an isolated finding. Ultimately, understanding the CSP helps demystify medical reports and provides valuable insight into the intricate world of brain development. If you ever have concerns about findings related to your brain imaging, the best course of action is always to have an open and thorough discussion with your healthcare provider. They can provide personalized guidance and explain what any specific finding means for you or your loved ones. Thanks for tuning in, guys – stay curious and keep learning!