Sequestered Disc MRI: What You Need To Know

E.Ittepic 120 views
Sequestered Disc MRI: What You Need To Know

Sequestered Disc MRI: What You Need to Know

Hey guys, let’s dive deep into the world of sequestered disc MRI scans, shall we? If you’ve been experiencing some gnarly back or neck pain and your doctor has mentioned an MRI, you might be wondering what exactly a sequestered disc is and why an MRI is the go-to diagnostic tool for it. Well, you’ve come to the right place! We’re going to break down everything you need to know about this condition and how an MRI helps us see what’s really going on in that spine of yours. So, grab a cuppa, get comfy, and let’s unravel this mystery together.

Understanding the Spine and Discs

Before we can really get our heads around a sequestered disc, it’s super important to understand the basic anatomy of your spine. Think of your spine as a sturdy column made up of individual bones called vertebrae. Between each of these vertebrae, you’ve got these amazing little shock absorbers called intervertebral discs. These discs are like jelly donuts, guys – they have a tough, fibrous outer layer (the annulus fibrosus) and a soft, gel-like center (the nucleus pulposus). Their main job? To cushion your vertebrae, allow for movement, and prevent bones from grinding against each other. Pretty neat, huh?

Now, sometimes, due to injury, aging, or just plain wear and tear, the outer layer of one of these discs can tear or weaken. When this happens, the soft inner material can start to bulge or push out. This is what we call a herniated disc, slipped disc, or prolapsed disc. It’s the precursor to a sequestered disc, so understanding this step is key. The herniated material can then press on nearby nerves, causing all sorts of unpleasant symptoms like pain, numbness, tingling, and weakness, often radiating down your arms or legs.

What Exactly is a Sequestered Disc?

So, what separates a regular ol’ herniated disc from a sequestered disc ? Great question! A sequestered disc is essentially a more advanced stage of a herniated disc. Imagine that jelly donut again. If the herniated part of the nucleus pulposus not only bulges out but breaks off completely from the main disc material, and then travels away into the spinal canal, that’s what we call sequestration. It’s like a little piece of the jelly has broken off and is now floating around independently.

This free-floating piece of disc material is particularly concerning because it can move around and potentially cause more significant nerve compression than a disc that is merely bulging or herniated but still attached. It can lodge itself in a spot that really irritates a nerve root, leading to intense pain and other neurological symptoms. The term “sequestered” literally means set apart or isolated, which perfectly describes this situation – a fragment of disc tissue that has become detached and isolated within the spinal canal.

Why is an MRI So Important for Diagnosing a Sequestered Disc?

This is where the sequestered disc MRI comes into play, and let me tell you, it’s the gold standard for visualizing this condition. Why? Because MRI machines use powerful magnets and radio waves to create incredibly detailed, cross-sectional images of your spine’s soft tissues. Unlike X-rays, which are great for bones but don’t show much of the discs or nerves, an MRI can clearly differentiate between bone, spinal cord, nerve roots, and the intervertebral discs.

For a sequestered disc, an MRI is crucial because:

  • It can pinpoint the exact location and size of the sequestered fragment: This is vital information for your doctor to understand the extent of the problem.
  • It shows nerve compression: The MRI will clearly reveal if and how much the free-floating disc fragment is pressing on your spinal cord or nerve roots. This helps determine the severity of your symptoms.
  • It can differentiate between types of herniation: An MRI can distinguish between a simple bulge, a contained herniation, and a sequestered fragment, which have different treatment implications.
  • It can identify other potential causes of pain: Sometimes, what feels like a disc issue could be something else, like a tumor or infection. An MRI can rule these out or identify them.

Basically, a sequestered disc MRI gives your medical team a crystal-clear roadmap of what’s happening internally, allowing them to make the most accurate diagnosis and plan the best course of treatment for you. It’s non-invasive and provides a wealth of information that other imaging techniques just can’t match.

What to Expect During a Sequestered Disc MRI

Okay, so you need an MRI for a suspected sequestered disc. What’s the actual experience like? Don’t sweat it, guys, it’s generally a straightforward procedure. First off, you’ll likely be asked to change into a hospital gown. You’ll also need to remove any jewelry, hearing aids, or anything metallic, as these can interfere with the strong magnets used in the MRI machine.

If you’re a bit claustrophobic, don’t worry! Modern MRI machines are often more open, and if you’re really anxious, your doctor might prescribe a mild sedative for you to take beforehand. You’ll lie down on a sliding table, which will then move into the center of the MRI scanner – this is the part that can look a bit like a tunnel. Try to relax and lie as still as possible during the scan. Movement can blur the images, and we want those pictures to be super sharp!

As the MRI machine works, you’ll hear a series of loud knocking, thumping, or whirring noises. This is totally normal! It’s the sound of the machine’s magnets and radio waves doing their thing. You’ll usually be given earplugs or headphones to help block out the noise. The technologist performing the scan will be in constant communication with you through an intercom system, and you’ll have a call button if you need anything.

Depending on the area being scanned and the specific protocols, the actual scanning time can range from about 15 minutes to an hour. Your doctor might order an MRI with contrast dye, which is injected into a vein, usually in your arm. This contrast material can help highlight certain tissues or abnormalities, making them easier to see on the scan. If contrast is used, it might involve a couple of separate scanning sequences.

Once the scan is complete, the table will slide out, and you’re free to go about your day. The radiologist will then interpret the images and send a report to your doctor, who will discuss the results with you.

Interpreting the MRI Results: What the Doctor Sees

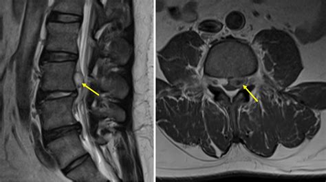
Now, let’s talk about what your doctor is looking for when they analyze your sequestered disc MRI scan. It’s like a detective story, and the MRI is their main clue! They’ll be examining detailed images of your spine, looking for specific signs that point towards a sequestered disc.

First, they’ll examine the discs themselves. They’ll check for any loss of disc height (a sign of degeneration), dehydration within the disc (which appears darker on certain MRI sequences), and the integrity of the annulus fibrosus. They’re specifically hunting for that tell-tale sign of a sequestered fragment – a piece of disc material that has visibly broken off from the main disc and is now lying outside the normal disc space, often within the spinal canal or a neural foramen (the opening where a nerve root exits the spine).

Crucially, they’ll be assessing the relationship of this fragment to the surrounding structures, particularly the nerve roots and the spinal cord. They’ll be looking for signs of compression, displacement, or inflammation of these neural elements. The sequestered disc MRI will show them how severely these nerves are being affected. A large fragment or a fragment in a critical location might be shown to be significantly pinching a nerve, while a smaller fragment might be causing less apparent pressure.

They’ll also note the exact location – is it in the lumbar spine (lower back), cervical spine (neck), or thoracic spine (mid-back)? Which nerve root is potentially being affected? Is the fragment extruded (pushed out but still attached) or truly sequestered (completely detached)? These details are absolutely critical for determining the best treatment approach.

Sometimes, the MRI might reveal other findings too, like bone spurs, ligament thickening, or inflammation in the facet joints, which can also contribute to spinal pain. The radiologist’s report will detail all these findings, providing your doctor with a comprehensive understanding of your spinal health and the precise cause of your discomfort.

Treatment Options Following a Sequestered Disc Diagnosis

So, you’ve had your sequestered disc MRI , and the results confirm that you have a sequestered disc. What happens next, guys? Don’t despair! There are several treatment options available, and the best approach really depends on the severity of your symptoms, the size and location of the fragment, and how much it’s impacting your nerves.

Conservative Treatment: Often, the first line of defense is non-surgical. This might include:

  • Rest and Activity Modification: Avoiding activities that aggravate your pain is key. However, prolonged bed rest is usually discouraged, as gentle movement is important for healing.
  • Pain Medication: Over-the-counter pain relievers like ibuprofen or naproxen, or prescription medications, can help manage pain and inflammation.
  • Physical Therapy: A tailored exercise program can strengthen the muscles supporting your spine, improve flexibility, and help decompress the affected area. This is often a huge component of recovery.
  • Injections: Epidural steroid injections can deliver anti-inflammatory medication directly to the area around the affected nerve root, providing significant pain relief for many people.

Surgical Treatment: If conservative treatments don’t provide relief, or if symptoms are severe (like significant weakness or loss of bowel/bladder control, which is a medical emergency!), surgery might be recommended. The goal of surgery is to remove the offending fragment of disc material that’s causing the compression. Common surgical procedures include:

  • Microdiscectomy: This is a minimally invasive surgery where the surgeon uses a microscope and small instruments to remove the portion of the disc that has broken off and is pressing on the nerve. It’s often highly effective for sequestered fragments.
  • Laminectomy or Laminotomy: In some cases, a small portion of the bone (lamina) overlying the spinal canal might need to be removed to gain access to the fragment and relieve pressure.

Your doctor will discuss these options with you in detail after reviewing your sequestered disc MRI and considering your overall health. Remember, the goal is to get you feeling better and back to doing the things you love!

Living with a Sequestered Disc

Dealing with a sequestered disc can be a real challenge, but understanding the condition and having a clear diagnosis from your sequestered disc MRI is the first step towards managing it effectively. It’s all about taking a proactive approach to your health, guys.

One of the most important things you can do is to listen to your body . Pay attention to what activities increase your pain and what helps alleviate it. Don’t push through severe pain – this is your body’s way of telling you something needs attention. Consistency with your treatment plan, whether it’s physical therapy exercises, medication adherence, or lifestyle modifications, is absolutely crucial for long-term success.

Maintaining a healthy lifestyle plays a significant role. This includes:

  • Regular, low-impact exercise: Think swimming, walking, or cycling. These activities can help keep your spine strong and flexible without putting excessive strain on it.
  • Maintaining a healthy weight: Excess weight puts added stress on your spine, particularly the lower back.
  • Good posture: Whether you’re sitting, standing, or lifting, being mindful of your posture can prevent further injury and reduce strain.
  • Quitting smoking: Smoking can negatively impact disc health by reducing blood flow and hindering the healing process.

It’s also important to have a good support system. Talk to your doctor, physical therapist, friends, and family about what you’re going through. Sometimes, just knowing you’re not alone and having people to rely on can make a world of difference. Remember, with the right diagnosis and a consistent management strategy, many people with sequestered discs can significantly improve their quality of life and return to their normal activities. So keep your chin up, stay informed, and focus on taking care of that amazing body of yours!