ICD 10 Code Q230: Understanding Aortic Valve Atresia

E.Ittepic 73 views
ICD 10 Code Q230: Understanding Aortic Valve Atresia

ICD 10 Code Q23.0: Understanding Aortic Valve Atresia

Hey guys! Today we’re diving deep into a really specific, but super important medical topic: ICD 10 code Q23.0 , which deals with aortic valve atresia . Now, I know that sounds like a mouthful, and it is a complex congenital heart defect, but understanding it is crucial for healthcare professionals, researchers, and even families affected by it. We’re going to break down what this code means, what aortic valve atresia is, and why accurately documenting it matters in the world of medical coding and patient care. So, buckle up, because we’re about to get a little technical, but in a way that’s totally understandable. We’ll be covering the nitty-gritty of this code, its implications, and how it fits into the broader picture of congenital heart anomalies.

What Exactly is Aortic Valve Atresia (ICD 10 Code Q23.0)?

Alright, let’s get straight to it. Aortic valve atresia , coded under ICD 10 Q23.0 , is a severe congenital heart defect. What does that mean? It means it’s something a baby is born with. Specifically, it’s a condition where the aortic valve, one of the four main valves in your heart, fails to develop properly. Instead of a fully formed valve with leaflets that open and close to control blood flow, there’s either a solid membrane or no valve structure at all. This is a critical issue because the aortic valve’s job is to allow oxygen-rich blood from the left ventricle (the heart’s main pumping chamber) to flow out to the rest of the body via the aorta, the body’s largest artery. When the aortic valve is atretic, this outflow is severely obstructed or completely blocked. This means that the body doesn’t get the oxygenated blood it needs to survive. The left ventricle often becomes underdeveloped as a result, and the body has to rely on other, less efficient pathways to circulate blood, usually involving a connection between the right and left sides of the heart that is meant to close after birth.

Diagnosing aortic valve atresia typically happens during pregnancy through prenatal ultrasounds or shortly after birth. The severity can vary, but it’s always a life-threatening condition requiring immediate medical intervention. The implications for a newborn are profound. Without proper blood flow to the body, vital organs, especially the brain and kidneys, can be damaged very quickly. The heart has to work overtime trying to compensate, often leading to heart failure. Treatment usually involves complex surgical procedures, often staged over time, to bypass the obstruction or create alternative pathways for blood flow. The goal is to reroute blood so that it can get to the body and to the lungs for oxygenation. The ICD 10 code Q23.0 serves as the official classification for this specific defect, allowing for standardized reporting, tracking of incidence rates, and research into its causes and treatments. It’s the universal language that medical professionals use to categorize and communicate about this particular heart anomaly.

The Importance of Accurate ICD 10 Coding for Q23.0

Now, let’s talk about why this specific ICD 10 code Q23.0 is so darn important, guys. In the realm of healthcare, accurate coding isn’t just about paperwork; it’s about life . For a condition as serious as aortic valve atresia, precise coding ensures that the patient’s medical records accurately reflect the complexity of their diagnosis. This has several critical downstream effects. First and foremost, it impacts billing and reimbursement . Insurance companies and government payers rely on these codes to understand the services provided and to determine appropriate payment. A correct code ensures that the healthcare providers are adequately compensated for the extensive care required for such a severe congenital defect. Without the right code, claims could be denied, leading to financial burdens for both the hospital and potentially the family.

Beyond the financial aspects, accurate ICD 10 coding for Q23.0 is vital for statistical tracking and research . By uniformly classifying aortic valve atresia, we can gather data on how prevalent this condition is, where it’s occurring, and in which populations. This data is invaluable for public health initiatives, allowing us to identify potential risk factors, develop targeted prevention strategies, and allocate resources effectively for specialized care centers. Researchers use this data to study the natural history of the disease, evaluate the effectiveness of different surgical techniques, and develop new treatments. Without consistent coding, it would be incredibly difficult, if not impossible, to conduct meaningful research or track public health trends related to congenital heart defects.

Furthermore, accurate coding directly influences clinical care and treatment planning . When a physician or a medical team accesses a patient’s record, the ICD 10 code Q23.0 immediately signals the severity and specific nature of the congenital heart defect. This informs their diagnostic approach, surgical planning, and long-term management strategies. It ensures that all members of the care team are on the same page regarding the patient’s condition, facilitating better coordination of care. For example, knowing it’s aortic valve atresia helps surgeons anticipate specific anatomical challenges and prepare the necessary surgical interventions. In essence, ICD 10 Q23.0 isn’t just a label; it’s a critical piece of information that drives financial, statistical, and clinical processes, ultimately impacting the quality of care received by patients born with this serious condition. It’s the foundation upon which informed decisions are made.

Understanding Congenital Heart Defects (CHDs) and the ICD 10 System

Before we wrap up our chat on ICD 10 code Q23.0 , let’s zoom out a bit and talk about congenital heart defects (CHDs) in general and how the ICD 10 system helps us navigate them. CHDs are the most common type of birth defect, affecting nearly 1 in 100 babies born each year. They range in severity from simple defects that may have no symptoms to complex problems that require major surgery soon after birth. Aortic valve atresia, which we’ve been discussing, is definitely on the more complex end of that spectrum. The ICD 10 system, or the International Classification of Diseases, Tenth Revision , is a standardized diagnostic tool used worldwide. It’s maintained by the World Health Organization (WHO) and provides a common language for reporting diseases and health conditions. In the United States, the clinical modification of ICD 10, known as ICD-10-CM, is used for diagnosis and billing purposes.

The ICD 10 system organizes diseases and injuries into categories, each represented by an alphanumeric code. For congenital anomalies, there are specific chapters that group these conditions. In the case of Q23.0, the ‘Q’ code signifies a congenital malformation, deformation and chromosomal abnormalities. Specifically, codes Q20-Q28 cover congenital malformations of the circulatory system. Within this range, Q23 focuses on congenital malformations of the aortic and pulmonary valves. Q23.0, as we know, is for aortic valve atresia. Other codes in this section might cover things like stenosis (narrowing) or other malformations of these valves. This hierarchical structure is incredibly useful. It allows for broad categorization (e.g., congenital heart defect) and then increasingly specific identification (e.g., malformation of aortic valve, specifically atresia). This level of detail is essential for accurate medical record-keeping, statistical analysis, and clinical research. It helps us understand the prevalence of specific types of CHDs, track outcomes for different conditions, and identify areas where more research or intervention is needed. So, when you see a code like Q23.0, remember it’s part of a much larger, organized system designed to bring clarity and consistency to the complex world of medicine, especially in understanding and managing conditions like aortic valve atresia. It’s how we all speak the same medical language, guys!

Symptoms and Diagnosis of Aortic Valve Atresia

So, what does aortic valve atresia actually look like in a baby, and how do doctors figure out if a little one has it? Since ICD 10 code Q23.0 represents such a severe condition, understanding the signs and diagnostic process is key. Often, the first clue that something might be wrong can come even before birth. Prenatal ultrasounds are pretty amazing these days, and they can sometimes detect abnormalities in the heart’s structure, including issues with the aortic valve, during pregnancy. If it’s not detected prenatally, symptoms usually become apparent very soon after birth, often within the first few hours or days of life. This is because the baby’s circulatory system has to make a significant adjustment when transitioning from the womb to the outside world, and a blocked aortic outflow becomes immediately problematic.

One of the most common and serious signs is cyanosis , which is a bluish discoloration of the skin, lips, and nail beds. This happens because the body isn’t getting enough oxygenated blood. The baby might also have rapid breathing (tachypnea) and difficulty breathing. They might appear lethargic, weak, and have feeding difficulties. A doctor listening to the baby’s heart might hear a murmur , which is an abnormal heart sound caused by turbulent blood flow. However, it’s important to note that sometimes, in severe cases of aortic atresia where there’s reliance on a fetal shunt like the ductus arteriosus to keep blood flowing, a murmur might not be very prominent initially. In fact, the baby might appear relatively stable for a short period before quickly deteriorating as the ductus arteriosus begins to close. This is a critical time, and any delay in recognition can have dire consequences.

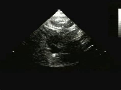
To confirm the diagnosis, doctors will use a variety of diagnostic tools. An echocardiogram (echo) is the primary tool used to visualize the heart’s structure and function. This ultrasound of the heart can clearly show the underdeveloped or absent aortic valve, the size of the heart chambers (especially the often-small left ventricle), and how blood is flowing (or not flowing) through the heart. Other tests might include an electrocardiogram (ECG or EKG) to check the heart’s electrical activity and rhythm, and a chest X-ray to look at the size and shape of the heart and lungs. In some cases, especially if the diagnosis is unclear or further detail is needed, a cardiac MRI or even cardiac catheterization might be performed. These advanced imaging techniques provide incredibly detailed pictures of the heart and its blood vessels, helping the medical team understand the full extent of the defect and plan the best course of treatment. The goal is always to identify this condition as quickly and accurately as possible, as prompt diagnosis is paramount for survival and successful management. The ICD 10 code Q23.0 serves as the official identifier once this diagnosis is confirmed.

Treatment and Management of Aortic Valve Atresia

Dealing with aortic valve atresia (ICD 10 Q23.0) requires immediate and highly specialized medical and surgical intervention. Since the aortic valve’s primary function is to pump oxygenated blood to the entire body, its absence or severe malformation means the body isn’t receiving the vital supply it needs. The immediate goal is to establish a way for blood to reach the body and to ensure that blood gets oxygenated in the lungs. This is a life-or-death situation that requires expert care in centers experienced with complex congenital heart defects.

Immediately after birth, and sometimes even before birth if detected, medical teams work to keep the baby stable. This often involves administering medications, such as prostaglandin , which helps to keep the ductus arteriosus open. The ductus arteriosus is a blood vessel that normally connects the aorta and the pulmonary artery in fetal circulation and typically closes shortly after birth. Keeping it open provides a crucial pathway for blood to flow from the pulmonary artery (carrying oxygenated blood from the lungs) into the aorta, thereby supplying the body. Without this, the baby’s condition would rapidly worsen.

The definitive treatment for aortic valve atresia almost always involves surgery. Because it’s such a complex defect, it’s rarely a single procedure. Instead, it often involves a series of staged surgeries. The specific surgical approach depends on the exact anatomy of the baby’s heart. One common approach involves procedures like the Norwood procedure or modifications of it. The Norwood procedure, in the first stage, essentially reconstructs the outflow tract of the heart, connecting the right ventricle (which is usually the dominant pumping chamber in these cases) to the aorta and also creating a pathway for blood to reach the lungs. This stage is typically performed within the first week of life.

Subsequent stages, often performed several months later and then again a few years later, aim to gradually reroute blood flow so that the right ventricle can eventually pump blood to both the lungs and the body efficiently. These later stages might include procedures like the bidirectional Glenn shunt and eventually the Fontan procedure . The Fontan procedure creates a complete separation of the oxygenated and deoxygenated blood pathways, allowing the right atrium or veins to directly channel deoxygenated blood to the lungs, and the left ventricle to pump oxygenated blood to the body. In some cases, depending on the development of the left ventricle and aorta, other surgical options or even a heart transplant might be considered.

Management doesn’t end with surgery. Children born with aortic valve atresia, even after successful surgical correction, require lifelong follow-up care. This includes regular cardiology check-ups, monitoring for any potential complications or residual issues, and managing any related health problems. The goal of treatment is to provide the best possible quality of life and long-term survival for these children. The ICD 10 code Q23.0 is used throughout this journey to accurately document the initial diagnosis and track the patient’s progress and interventions. It’s a tough road, guys, but medical science has made incredible strides in helping these kids live full lives.