Aortic Elongation: What It Means

E.Ittepic 68 views
Aortic Elongation: What It Means

Aortic Elongation: What It Means

Hey everyone! Today, we’re diving deep into a topic that might sound a bit technical, but guys, it’s super important for understanding cardiovascular health: aortic elongation . So, what exactly is aortic elongation, and why should you care? Simply put, aortic elongation refers to the lengthening and widening of the aorta , which is your body’s main artery. Think of it as the superhighway for blood leaving your heart to travel to the rest of your body. When this highway starts to get a bit stretched out and baggy, it’s called elongation. This isn’t just a minor cosmetic change; it can have significant implications for your health. We’re talking about increased stress on the heart, potential for aortic aneurysms, and other complications. In this article, we’ll break down everything you need to know, from the causes and symptoms to the diagnostic methods and management strategies. We want to empower you with knowledge so you can have informed conversations with your doctor and take proactive steps towards a healthier heart. So, grab a cuppa, get comfy, and let’s explore the fascinating world of the aorta and what happens when it starts to elongate.

Understanding the Aorta’s Role

Before we get into the nitty-gritty of elongation, let’s first talk about the aorta’s crucial role in our bodies. This massive artery originates from the left ventricle of your heart and arches upwards, then descends through the chest and abdomen. Its primary job is to carry oxygen-rich blood pumped by the heart to virtually every cell in your body. This blood is under significant pressure, especially with each heartbeat. The aorta is built to withstand this immense force, boasting strong, elastic walls that can expand and recoil. This elasticity is key to maintaining blood flow and regulating blood pressure. When the aorta elongates, its normal, smooth, and slightly curved path becomes more tortuous and stretched. This change in shape can lead to a number of issues. Firstly, the increased length means blood has to travel further, and the altered shape can create turbulence in blood flow. This turbulence can, over time, contribute to the buildup of plaque (atherosclerosis) and further damage the artery walls. Secondly, the stretching puts added strain on the aorta itself and, consequently, on the heart. The heart has to work harder to pump blood through a less efficient system. This extra workload can lead to conditions like left ventricular hypertrophy, where the heart muscle thickens. Furthermore, a weakened and elongated aorta is more susceptible to dilatation, which is the widening of the artery. This widening can progress to an aortic aneurysm, a dangerous bulge in the artery wall that can rupture, leading to life-threatening internal bleeding. So, while elongation might sound like a simple stretching, it’s a sign of underlying changes that can have serious consequences for your cardiovascular system. Understanding this foundational role helps us appreciate why even subtle changes in its structure warrant attention.

What Causes Aortic Elongation?

Alright guys, so we know what aortic elongation is, but why does it happen? This is where things get a bit more complex, as there isn’t one single culprit. Instead, it’s usually a combination of factors, often linked to aging and underlying health conditions. The most common driver is atherosclerosis , you know, the hardening and narrowing of arteries due to plaque buildup. As plaque deposits accumulate along the aorta’s inner walls, they make the artery stiff and less elastic. To compensate for this stiffness and maintain blood flow, the aorta can elongate and become tortuous, essentially trying to find a way to accommodate the changes. It’s like trying to bend a stiff straw – it might kink or stretch to make the bend. Another major contributor is hypertension , or high blood pressure. Chronically elevated blood pressure puts constant, excessive force on the artery walls. Over time, this persistent pressure can weaken the aorta’s structure, leading to stretching and elongation. It’s like repeatedly inflating a balloon beyond its normal capacity; eventually, the material weakens and stretches out. Aging itself is also a significant factor. As we get older, our blood vessels naturally lose some of their elasticity. This age-related stiffening can predispose the aorta to elongation, especially when combined with other risk factors. Think of it as natural wear and tear on a complex biological system. Certain genetic conditions can also play a role. For example, conditions like Marfan syndrome and Ehlers-Danlos syndrome affect connective tissues throughout the body, including the walls of the aorta. People with these conditions often have weaker blood vessels that are prone to stretching and dilatation from a younger age. Lastly, inflammatory conditions that affect blood vessels, such as vasculitis, can also contribute to aortic wall damage and subsequent elongation. So, as you can see, it’s a multifaceted issue, often involving a dance between genetics, lifestyle, and the natural aging process. Understanding these causes is key to prevention and management, which we’ll touch upon later.

Symptoms to Watch For

Now, this is the part where we need to be really vigilant, guys. A major challenge with aortic elongation is that it often doesn’t present with obvious symptoms in its early stages. This is why regular check-ups are so darn important! However, as the condition progresses or if it’s associated with other complications like aneurysms or significant blood flow disturbances, some signs might emerge. One of the most common, though often nonspecific, symptoms can be chest pain or back pain . This pain can be sharp, dull, or feel like a tearing sensation, depending on the underlying cause and severity. If the aorta is pressing on surrounding structures or if there’s a developing aneurysm, you might feel discomfort. Another symptom that might arise is shortness of breath , especially if the elongated aorta is compressing the lungs or airways, or if it’s contributing to heart failure. Some individuals might experience hoarseness if the enlarged aorta presses on the recurrent laryngeal nerve, which controls the vocal cords. Palpitations or a feeling of a rapid or irregular heartbeat can also occur as the heart strains to pump blood through the compromised aorta. In some cases, stroke-like symptoms such as sudden dizziness, weakness, numbness, or difficulty speaking could indicate that a piece of plaque or a blood clot from the aorta has traveled to the brain. Abdominal pain could be a sign if the elongation affects the abdominal aorta, potentially indicating an abdominal aortic aneurysm. It’s crucial to remember that these symptoms can be indicative of many other conditions too. That’s why seeking medical attention promptly is vital for a proper diagnosis. Don’t just brush off persistent pain or discomfort. If you experience any of these, or even just a general sense of something not feeling right with your cardiovascular health, it’s time to have a chat with your doctor . Early detection is absolutely key to managing aortic elongation effectively and preventing more serious outcomes. Don’t wait for a crisis; listen to your body!

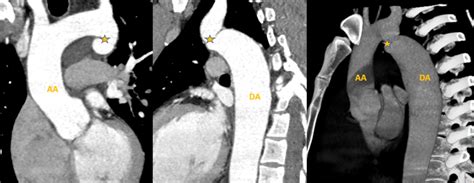
Diagnosis: How Doctors Check Your Aorta

So, how do doctors actually figure out if your aorta is elongating or if there are other issues going on? It’s not like they can just, you know, see it without some help! The diagnostic process usually starts with a good old-fashioned physical examination and a review of your medical history and risk factors. Your doctor will listen to your heart and lungs and might feel for any abnormalities in your chest or abdomen. They’ll definitely ask about your family history, lifestyle, and any symptoms you might be experiencing. But to get a clear picture of the aorta itself, medical imaging is essential. One of the most common and accessible tools is an echocardiogram , or heart ultrasound. This uses sound waves to create images of your heart and the base of the aorta, allowing doctors to assess its size, shape, and function, and to check for any bulging or thickening. For a more detailed view of the entire aorta, doctors often turn to CT angiography (CTA) or MR angiography (MRA) . These advanced imaging techniques involve injecting a contrast dye into your bloodstream and then using CT or MRI scanners to produce highly detailed cross-sectional images of the aorta. They are excellent at showing the length, diameter, and any abnormalities like kinks, widening, or aneurysms. Sometimes, a standard chest X-ray might show signs of aortic enlargement, but it’s not as detailed as CTA or MRA. In certain situations, particularly if there’s concern about blood flow, a transesophageal echocardiogram (TEE) might be used, where an ultrasound probe is inserted down the esophagus to get closer images of the aorta. The choice of imaging technique often depends on what the doctor suspects, the patient’s specific condition, and the availability of the technology. The key takeaway here, guys, is that there are reliable ways to visualize and assess your aorta. If you have risk factors or concerning symptoms, don’t hesitate to ask your doctor about these diagnostic options.

Now, let’s talk about the important stuff: how we manage aortic elongation and the potential complications that come with it. The primary goal is to slow down the progression, manage symptoms, and prevent serious events like aortic dissection or rupture. Since atherosclerosis and hypertension are major drivers, managing these underlying conditions is paramount. This means adopting a heart-healthy lifestyle . We’re talking about a diet low in saturated fats, cholesterol, and sodium, and rich in fruits, vegetables, and whole grains. Regular physical activity is also crucial, as recommended by your doctor. For many, medications will play a significant role. Blood pressure-lowering medications are essential to reduce the strain on the aorta. Statins might be prescribed to manage cholesterol levels and slow down atherosclerosis. Beta-blockers are often used to reduce the heart’s workload and heart rate, which can decrease the stress on the aortic wall. If an aortic aneurysm has developed, the management strategy becomes more intensive. Regular monitoring with imaging tests (like CT or MRI) is crucial to track the size and growth rate of the aneurysm. If the aneurysm reaches a certain size or is growing rapidly, surgical intervention might be necessary. This can involve either open surgery to replace the damaged section of the aorta with a graft or endovascular repair, where a stent-graft is inserted through a catheter to reinforce the weakened wall. For individuals with genetic conditions like Marfan syndrome, management focuses on close surveillance and often preventative medication (like beta-blockers) to reduce the risk of aortic complications. It’s a team effort, really. Your doctors will work with you to create a personalized management plan. Staying informed, adhering to your treatment, and making those healthy lifestyle choices are your superpowers in this fight. Don’t be afraid to ask questions and be an active participant in your own care. Your cardiovascular health is worth it!

The Future of Aortic Health

Looking ahead, the field of aortic health is constantly evolving, offering new hope and better strategies for managing conditions like aortic elongation. Research is continuously advancing our understanding of the genetic and molecular mechanisms behind aortic diseases. This deeper knowledge is paving the way for more targeted therapies and improved diagnostic tools. We’re seeing exciting developments in imaging technology , making it easier and more accurate to detect subtle changes in the aorta much earlier. This means potentially intervening before significant damage occurs. Furthermore, there’s a growing focus on personalized medicine . By analyzing an individual’s genetic makeup and specific risk factors, doctors can tailor prevention and treatment plans more precisely. This approach aims to optimize outcomes and minimize side effects. In terms of treatment, minimally invasive techniques, like endovascular repair for aneurysms, are becoming more refined and accessible, offering less risk and faster recovery times compared to traditional open surgery. Scientists are also exploring novel pharmacological approaches, looking for drugs that can strengthen aortic tissue or slow down the degenerative processes associated with elongation and aneurysm formation. The ultimate goal is to move beyond just managing symptoms and to actively repair or prevent the damage at a cellular level. For you guys out there, this means that staying informed and working closely with your healthcare providers is more important than ever. The future of aortic health is looking brighter, thanks to ongoing research and innovation. Keep those conversations with your doctor open, stay proactive about your well-being, and embrace the advancements that are helping us all live healthier, longer lives. It’s a journey, and science is right there with us, making it a smoother ride.

Conclusion: Prioritizing Your Aorta

So, there you have it, guys! We’ve navigated the complexities of aortic elongation , understanding what it is, why it happens, and what we can do about it. It’s clear that the aorta, this vital highway of our circulatory system, deserves our attention. While aortic elongation might often be silent in its early stages, its potential consequences are significant. From the underlying causes like aging, atherosclerosis, and hypertension, to the symptoms that can signal progression, and the advanced diagnostic tools used to detect it, knowledge is truly power. We’ve also explored the crucial management strategies, emphasizing lifestyle changes, medication, and, when necessary, surgical interventions. The advancements in medical science mean we have more tools than ever to monitor and treat these conditions effectively. The key takeaway is proactive health management . This means regular check-ups, especially if you have risk factors, being aware of potential symptoms, and having open, honest conversations with your doctor. Don’t underestimate the power of a heart-healthy diet, regular exercise, and adhering to your prescribed treatments. Your aorta works tirelessly for you, day in and day out. It’s time we returned the favor by prioritizing its health. By staying informed and taking consistent action, you can significantly impact your cardiovascular well-being and ensure that your body’s main artery continues to function optimally for years to come. Take care of yourselves, and take care of that amazing aorta!